Phòng ngừa bệnh viêm lợi như thế nào?

Trả lời:

Lợi có nhiệm vụ bảo vệ, che chở và giữ cho chân răng được chắc chắn. Lợi bị nhiễm khuẩn do không đánh răng. Dùng tăm xỉa răng chọc vào lợi dễ làm lợi bị xước,  gây viêm lợi và mưng mủ.

Dùng bàn chải đánh răng quá cứng không phù hợp với lứa tuổi, cũng dễ làm cho lợi bị xước, gây nên viêm và lợi mưng mủ.

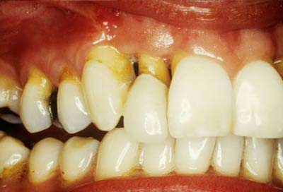
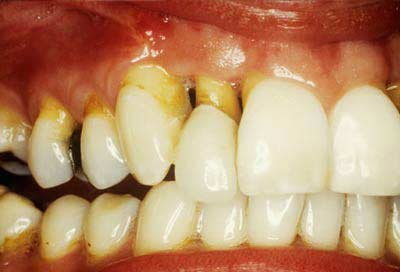
Lợi bị viêm sưng đỏ, chảy máu gây đau nhức, sưng má. Khi răng, lợi bị viêm làm cho răng, miệng có mùi hôi khó chịu. Tuy nhiên, mùi hôi ở lợi còn do nhiều nguyên nhân khác. Nếu viêm lâu ngày, lợi sẽ bị tụt xuống (tụt lợi) làm cho chân răng lộ ra ngoài trông rất xấu.

Để phòng bệnh viêm lợi, bạn nên chú ý mấy việc sau:

  • Giữ vệ sinh răng, miệng hàng ngày bằng cách đánh răng buổi tối trước khi đi ngủ và buổi sáng sau khi thức dậy.
  • Phải súc miệng và uống nước sau khi ăn, nhất là sau khi ăn đồ ngọt.
  • Không dùng vật nhọn cứng chọc vào răng, gây ra khe hở chân răng, thức ăn thường hay dắt vào nơi đó gây viêm nhiễm.
  • Khi lợi bị viêm phải chữa ngay, tránh bị tụt lợi.