Cấy ghép răng không là một phẫu thuật nặng nề vì: – Chỉ cần gây tê tại chỗ vùng cấy ghép răng như một cuộc nhổ răng thông thường – Các kỹ thuật mới hiện nay không cần phải mở nướu, khâu… – Hậu phẫu nhẹ nhàng, không sưng đau, bạn có thể trở lại làm việc ngay ngày hôm sau.
Những yếu tố ảnh hưởng đến thành công của cấy ghép răng?
Có 3 yếu tố quan trọng trong sự thành công của Cấy ghép răng là :
– Kích thước, chất lượng của xương hàm chỗ mất răng -Yếu tố kỹ thuật, tức là kỹ năng và kinh nghiệm của ê-kíp Cấy ghép răng: bác sĩ phẫu thuật, bác sĩ phục hình.
– Việc Bạn chăm sóc Răng cấy ghép như thế nào? Một khi đã hoàn tất răng cấy ghép thì việc vệ sinh, chăm sóc là hết sức quan trọng.
Tuổi tác có giới hạn việc Cấy ghép răng không?

Tuổi tác không giới hạn implant
Tuổi tác không phải là vấn đề quan trọng trong Cấy ghép răng. Bất cứ ai mất răng đều có thể cấy ghép răng được, miễn là xương hàm có đủ kích thước và chất lượng để trụ Implant có thể kết hợp vững chắc. Tuổi cao nếu còn khỏe mạnh thì vẫn có thể cấy ghép răng. Tuổi đang lớn là giai đoạn phát triển, bình ổn của xương hàm mặt nên có thể không cấy ghép răng ở giai đoạn này.

Tuổi tác không giới hạn implant
Răng cấy ghép có hiệu quả như răng tự nhiên không?
Răng cấy ghép đúng kỹ thuật thì hiệu quả ăn nhai như là răng thật.
Nhiều nghiên cứu cho thấy rằng trong nhiều trường hợp Răng cấy ghép có thể vững chắc hơn răng thật.
Cấy ghép implant rất hiệu quả.
Ngoài ra với cảm giác thoải mái, dễ chịu như răng thật, răng implant còn giúp nâng cao chất lượng cuộc sống của chính bạn.
Tuy nhiên, răng thật của bạn vẫn là “implant” hoàn hảo nhất.
Kỹ thuật gắn phục hình sớm và trễ, loại nào tốt hơn?
Cả hai kỹ thuật này hiệu quả đều như nhau. Tuy nhiên kỹ thuật gắn phục hình sớm tiện lợi, tiết kiệm thời gian hơn nhưng đòi hỏi bạn phải có sức khỏe toàn thân và vệ sinh răng miệng tốt, đồng thời kích thước và chất lượng xương hàm vùng mất răng phải đạt được một yêu cầu nhất định mới có thể thực hiện được.
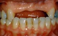
Bạn nên đi Cấy ghép răng khi nào?
Nếu bạn mất răng thì nên đi Cấy ghép răng càng sớm càng tốt, tránh cho xương hàm tiêu nhiều hơn. Nếu bạn có các răng bị hư cần phải nhổ, thì nên nhổ càng sớm càng tốt vì bệnh lý của răng sẽ làm tiêu xương hàm rất nhanh và nên nhổ với kỹ thuật đặc biệt để tránh làm tổn thương xương ổ răng. Tốt nhất là đặt implant ngay lúc nhổ răng nếu tình trạng xương, nướu cho phép (đặc biệt là vùng răng cửa ) nếu không thì đặt implant sau một vài tháng khi vết nhổ đã lành thương
Răng Implant có gây hại gì đối với cơ thể không?
Titanium là kim loại có tương hợp sinh học cao với cơ thể con người và qua nghiên cứu lâu dài người ta nhận thấy nó không có một tác động xấu nào đến cơ thể. Do đó ngoài việc ứng dụng implant trong phục hồi răng mất, Titan còn được sử dụng để phục hình khuôn mặt, tay chân…
Khi đặt Implant trong xương hàm, tế bào xương sinh sản và phát triển trên bề mặt titanium, tạo thành một phức hợp chắc chắn. Trụ titanium trở thành một chân răng vững chắc như răng thật.
Răng implant không gây hại cho cơ thể.
Implant bằng Titan cho Gối – Mắt cá – Khớp háng
Răng cấy ghép sử dụng được bao lâu?
Răng cấy ghép có thể sử dụng suốt đời. Răng cấy ghép tồn tại lâu dài như răng thật và cũng giống như răng thật, thậm chí trong một số trường hợp lực nhai của răng implant còn cao hơn răng thật.
Ngoài ra cũng như răng thật, bạn muốn răng tồn tại bền lâu và khỏe mạnh thì bạn cần chăm sóc, vệ sinh răng miệng kỹ lưỡng và tuân thủ lịch tái khám đều đặn. Trường hợp Cấy ghép implant đầu tiên trên thế giới năm 1965, sau 40 năm vẫn tồn tại và ăn nhai tốt.
Cấy ghép răng implant có đau không?
Cấy ghép răng implant không đau như người ta thường nghĩ. Bởi cấy ghép răng nhẹ nhàng hơn nhổ răng, chỉ cần gây tê tại chổ ở vùng đặt Implant.
Những lo lắng khi cấy ghép răng Implant
Khảo cứu rất nhiều bệnh nhân đã từng Cấy ghép răng implant thì thấy rằng hầu hết thường do lo lắng là chủ yếu. Và rất ít các than phiền, khó chịu hay đau đớn ngay cả những bệnh nhân đặt nhiều implant. Do đó bạn không phải quá lo lắng, ngay cả với những ai vốn rất sợ đau
Răng đã nhổ lâu, xương tiêu nhiều có làm Implant được không?
Xương tiêu nhiều cũng có thể làm Implant nhưng cần phải ghép xương. Ghép xương là kỹ thuật đơn giản nhằm làm cho vùng đặt Implant có đủ kích thước xương. Việc đặt Implant có thể được tiến hành cùng lúc ghép xương hoặc sau khi ghép xương 1- 6 tháng.
Tuy nhiên trong một số Có nhiều trường hợp do xương nên không thể đặt implant khi mất răng
Và còn tùy vào mỗi người mà sự tiêu xương sau khi mất răng diễn ra nhanh hay chậm, thời gian mất răng chỉ là một trong những yếu tố để chẩn đoán
Chi phí cho một ca điều trị Tetracycline bao nhiêu?
Chi phí cho điều trị Tetracycline phụ thuộc vào số lượng răng cần phục hình và chủng loại răng sứ mà bạn lựa chọn. Số lượng răng phục hình phụ thuộc vào mức độ – sự mong muốn cải thiện thẩm mỹ của bạn, độ rộng của hàm răng bạn khi cười, mức độ sậm màu của răng… số răng phục hình thông thường dao dộng từ 14 – 22 răng.
Chi phí thực hiện phụ thuộc vào loại răng sứ mà bạn lựa chọn
VD:
Răng sứ kim loại (Ceramic ) IPS D.sign: 1.000.000 /răng Răng Toàn sứ Empress 2, E.max: 2.000.000 – 2.500.000 /răng Răng Sứ Quí Kim: 3.500.000 /răng
Răng Toàn Sứ Cercon : 3.500.000 /răng
Sau khi bằng răng sứ thì thời gian – độ bền của phục hình dùng được bao lâu?
Sau khi phục hình Tetracycline bằng răng sứ, nếu bạn sử dụng răng sứ – phục hình sứ đúng cách thì thời gian duy trì vẻ thẩm mỹ của phục hình phụ thuộc nhiều vào chủng loại sứ mà bạn chọn lựa. Cụ thể với từng loại sứ khác nhau thì đặc tính, độ bền, vẻ thẩm mỹ và chi phí thực hiện cũng rất khác nhau.
*Phục hình bằng sứ kim loại:
Ưu điểm của răng sứ kim loại là có giá rẻ, nhưng thời gian sử dụng trên dưới 10 năm, sau 5 – 6 năm sử dụng, có thể xuất hiện viền xám kim loại ở cổ răng và có thể làm nướu răng đổi màu xám nhạt, càng về sau càng sậm làm giảm vẻ thẩm mỹ của phục hình. Do đó, chỉ định của sứ kim loại cho các trường hợp răng nhiễm tetracycline hạn chế, mang tính cấp thời trong thời gian ngắn.
Phục hình sứ kim loại bị viền xám sau vài năm sử dụng
* Với các phục hình sứ cao cấp: (Toàn sứ E.max, Cercon, Sứ Quí Kim): Chi phí phục hình cao hơn, thời gian sử dụng trên dưới 15 năm, răng có tính thẩm mỹ cao, đẹp tự nhiên. Không bị đổi màu theo thời gian.
Sau 15 năm, răng sứ cao cấp vẫn không bị bể vỡ… tuy nhiên do quá trình sinh lí tự nhiên của cơ thể, người càng lớn tuổi thì nướu răng có thể sẽ co lên. Và tùy mỗi người mà quá trình này diễn ra nhanh hơn hay chậm hơn và cho tất cả các răng, kể cả răng phục hình. Đối với những răng cửa – răng trước lúc này có thể sẽ bị hở đường cổ răng.

Nếu bạn thấy không được thẩm mỹ thì nên làm lại phục hình và quá trình cũng khá đơn giản, Bác sĩ chỉ việc cưa tách mão sứ cũ và lấy dấu để labo làm lại phục hình sứ mới mà không phải điều chỉnh nhiều như lúc đầu.



